平價植牙、平價全口All-on-4、雷射牙周 |  基隆一日尊榮牙醫診所

periodontal

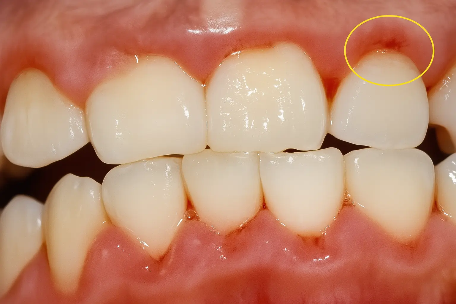
牙周雷射

牙周病治療一定要手術嗎?透過牙周雷射技術,【基隆一日尊榮牙醫診所】為患者提供更溫和、精準的非侵入式療程,有效改善牙齦發炎與牙周袋問題,適合怕痛、術後恢復期短的你!

牙周雷射[基隆基隆一日尊榮牙醫]

基隆一日尊榮牙醫
為什麼推薦牙周病雷射?

精準清創、降低副作用

雷射光束能有效滲透至牙周袋底部,去除病菌與壞死組織。 同時保留健康組織,減少出血、疼痛與腫脹。

促進組織再生

雷射照射可刺激牙齦細胞與膠原蛋白再生,有助於提升牙齦附著及骨支持力,改善牙周結構。

超短療程、恢復快速

單次療程約 30–60 分鐘,可減少治療次數與復原期,讓您快速回復日常生活。

誰適合選擇牙周病雷射?

牙周病患者新選擇

  • 早期或中度牙周病患者

    出血、牙齦紅腫、口臭等初期症狀。

  • 深層牙周袋、傳統潔治效果有限者

    雷射能深入牙周袋,效果優於傳統牙周刮治。

  • 尋求非手術舒緩治療者

    不想施行手術切開牙齦,追求舒適治療過程。

  • 欲提升牙齦健康、預防復發者

    雷射除菌+再生,適合作為長期保養與預防。

常見問題 FAQ

牙周病雷射。疑難雜症公開。

  • 牙周病雷射會痛嗎?
    治療過程會配合局部麻醉,幾乎無痛;術後可能略有敏感感,但多數患者幾日內緩解。
  • 一次療程就有效嗎?
    效果依個人狀況而定,一般建議連續進行2–3次,再搭配日常牙周照護,能達到穩定效果。
  • 術後注意事項?
    建議避免食用刺激性食物、高溫飲品三天;勤用溫鹽水漱口,並依醫囑刷牙、使用牙間刷。
  • 保險可以負擔嗎?
    牙周病雷射視為高階牙周治療,大多不含在健保內,但我們提供透明費用與方案,降低負擔。

牙周病雷射療程短速

我們更在意您的牙齦健康

我們相信,牙周病治療不只是解決當下不適,更是守護長久口腔健康的關鍵。 選對一個注重細節、結合先進科技的專業團隊,是療效穩定的第一步。 基隆一日尊榮牙醫已成功協助眾多患者改善牙周問題,期待也為您量身打造最適合的牙周病雷射療程。

服務據點

深耕基隆與瑞芳
全時段守護在地居民的口腔健康

看診時間
09:30-12:30
14:00-17:30
18:00-21:30

線上立即諮詢

花費最少的預算,享受最好的品質

Copyright © 2025 ao4.tw. All rights reserved.